PAN X-RAYS

PAN X-RAYS

Dr Righardt van Huyssteen

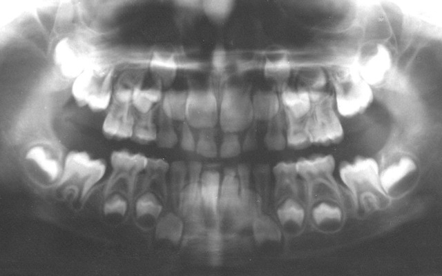
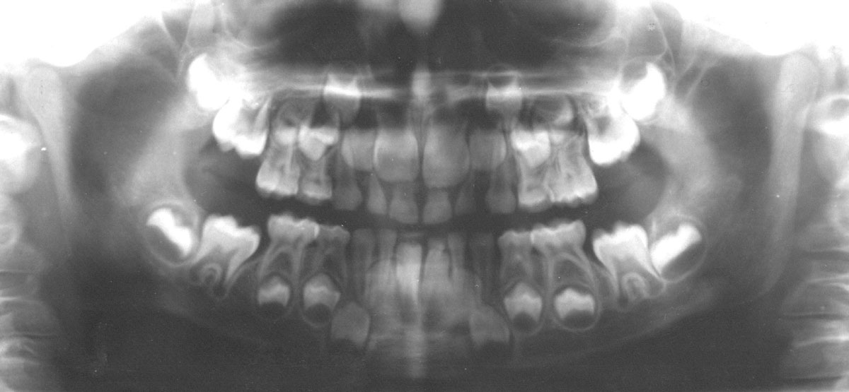
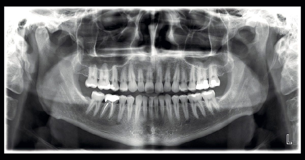
A panoramic radiograph is a panoramic scanning dental X-ray of the upper and lower jaw. It shows a two-dimensional view of a half-circle from ear to ear. 

The X-rays use small amounts of radiation. Panoramic X-rays show a broad view of the jaws, teeth, sinuses, nasal area, and temporomandibular (jaw) joints. These X-rays show problems such as impacted teeth, bone abnormalities, cysts, solid growths (tumors), infections, and fractures

PAN X-RAYS

Hanrie Fourie

Hermanus-based, Dr Righardt van Huyssteen is a dental practitioner with more than 15 years of dental experience. Added to the regular dental services he offers, are aesthetic and restorative dentistry services. Dr Righardt works closely with top specialists for more complicated procedures that need ...

View Profile

What is Xplorio?

Xplorio is your local connection allowing you to find anything and everything about a town.

WATCH THE VIDEO: Welcome to Hermanus
Read More

Recent Posts

Dental Services

Dental Services

Hermanus-based, Dr Righardt van Huyssteen is a dental practitioner with more than 15 years of dental experience.

Porcelain Crowns & Restorations

Porcelain Crowns & Restorations

Porcelain crowns and restorations made in one appointment.

CEREC CAD/CAM Technology

CEREC CAD/CAM Technology

We make it a priority to incorporate the latest in dental technology in everything we do at our practice.

Dr Righardt van Huyssteen and his dental services

Dr Righardt van Huyssteen and his dental serv...

Find out more about Dr Righardt van Huyssteen and his dental services.

Relocating to Hermanus

Relocating to Hermanus

Dr Righardt van Huyssteen will be relocating his practice to 9 Main Road, Hermanus as from 4 February 2019.

SEDATION

SEDATION

SEDATION DR.WILLEM MINNAAR www.minnaarsedation.co.za